Mtina a porod andílka ve 22. týdnu
Některé osudy, se kterými se na Babyonline setkáváme jsou velmi smutné. Patří mezi ně i dnešní příběh.
Jmenuji se Martina, je mi 26 let a jsem zdravotní sestra. V září 2009 jsem si vzala svého teď již manžela (27 let).
Kdy jste se rozhodli pro miminko?
V prosinci jsem skončila s antikoncepcí a v lednu ji už brát nezačala s tím, že tomu necháme volný průběh. Ke konci února jsem MS nedostala, tak jsem si udělala těhotenský test. Byly tam dvě čárky, sice ta jedna hodně slabá, ale byla tam. Když přišel manžel večer z práce, tak jsem mu ho ukázala, byl moc šťastný.
Jak probíhalo těhotenství?
Objednala jsem se ke své lékařce a šla k ní 8. dubna, to už jsem byla v 6tém týdnu. Za dva týdny na další kontrole už krásně bilo srdíčko. Lékařka mi doporučila objednat se do Olomouce na prvotrimestriální screening (kombinace odběru krve a ultrazvuku). Na ten jsem jela ve 12tém týdnu 18. května. Odběry krve i ultrazvuk dopadly na jedničku, i když andílek moc spolupracovat nechtěl a ultrazvuk vyšel až na třetí pokus. A já si odnášela fotečku a báječný pocit, že je andílek zdravý a krásně prospívá. Rovnou si mě tam objednali na kardiologický ultrazvuk srdíčka miminka a na druhotrimestriální screening.
Celé těhotenství probíhalo skvěle, ani jednou mi nebylo špatně, nezvracela jsem, horka jsem snášela dobře, chodila jsem do práce, s manželem jsme jezdili na výlety… prostě jsem si těhotenství užívala. Manžel se strašně těšil, dokonce sám vyrobil nádhernou kolíbku pro našeho andílka.
14. července jsem jela na to kardiologické vyšetření, při kterém s námi opět andílek nechtěl spolupracovat, ale paní doktorka byla báječná a ultrazvuk srdíčka jsme opět zvládli na jedničku. Byl to první ultrazvuk, na kterém se mnou byl i manžel.
Osudný screening
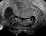
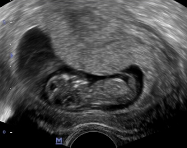
26. července v 18.30 jsem byla na druhotrimestriálním screeningu. Manžel musel do práce, ale šla se mnou kamarádka. Pan doktor mi nebyl moc sympatický, ale to jsem moc neřešila a moc jsem se těšila, až zase uvidím svého andílka. Pan doktor dělal ultrazvuk docela dlouho, ale to mi nijak nevadilo, z předešlých dvou jsem byla zvyklá, že andílek nespolupracuje, a proto to trvá déle...
Potom mi ale pan doktor řekl, že je tam sice špatně vidět, ale že tam je problém. Hlavička má tvar citronu, nožičky a ručičky délkou odpovídají 14-15 týdnu a já byla ve 22 tt. Hrudníček byl oproti bříšku maličký ve tvaru hrušky a skoro celý jej vyplňovalo srdíčko. Na plíce nezbývalo moc místa, takže byly jen hodně maličké. Bylo podezření na kostní a plicní dysplázii. Řekl mi, že je potřeba udělat na genetice odběr plodové vody a další ultrazvuk. Byla jsem úplně v šoku. Ještěže tam se mnou byla kamarádka, která shodou okolností pracuje ve FN Olomouc. Hned ráno na druhý den mi volala, že mi domluvila schůzku s panem profesorem Šantavým z genetiky na čtvrtek ráno.
Genetické vyšetření
Manžel si vzal v práci volno, já si ve středu byla pro neschopenku v práci a ve čtvrtek ráno jsme byli v Olomouci. Pan doktor mi dělal skoro dvouhodinový ultrazvuk a pak řekl, že je to hodně špatný, že pokud by andílek zvládl přežít do porodu, tak po porodu by to už nezvládl kvůli nevyvinutým plícím. V ten čtvrtek jsem se i dozvěděla, že to bude vysněný chlapeček. A jeho nemoc se jmenuje thanatoforický dwarfismus.
Jaké jste měli možnosti?
Stáli jsme s manželem před velkým rozhodnutím: buď andílka donosit a porodit v termínu, ale za cenu toho, že se může narodit mrtvý nebo že zemře hned po porodu nebo porodit teď ve 23. týdnu. (Porody z genetické indikace se mohou provádět do 24. týdne).
Bylo to těžké rozhodnutí, ale domluvili jsme se, že to ukončíme teď. Zbytečně bychom se trápili další 4 měsíce a aspoň se můžeme začít dřív snažit o další mimi.
Vyvolání porodu
Druhý den v pátek jsem nastoupila do nemocnice FN Olomouc na gynekologii na vyvolání porodu. Sestřičky i lékaři se ke mně chovali moc ohleduplně a snažili se mi ve všem vyjít vstříc a pomoci mi. Dostala jsem dvoulůžkový pokoj jen pro sebe, návštěvy jsem měla povolené 24 hodin denně.
Absolvovala jsem předoperační vyšetření (interní vyšetření, EKG, odběry krve), cca v 15 hodin jsem dostala první dvě tablety na vyvolání porodu (zavádějí se do pochvy). Sestřička mi řekla, že většinou se porod rozjíždí po druhé dávce tablet. Tu jsem dostala za tři hodiny po té první. Jenže ani po druhé dávce se nic nestalo, tak ve 21 hodin jsem dostala třetí dávku. Cca kolem 23 hodiny začaly první stahy, převezli mě na porodní sál, uložili do postele a zavedli mi epidurální anestezii, na které jsme se domluvili u přijetí (prý abych netrpěla alespoň fyzickou bolestí).
Jenže po chvíli stahy ustaly a já byla otevřená jen na špičku prstu. Na porodním jsem už zůstala. Každé tři hodiny jsem dostávala tablety na vyvolání porodu, měla jsem zajištěnou žílu a dostávala jsem infuze na zavodnění, protože jsem nemohla jíst ani pít (protože nikdo nevěděl, kdy porod začne a kvůli epidurálu jsem musela být nalačno). Manžel se mnou byl skoro celé dny.
V sobotu dopoledne přijel i s velkou kytkou a sestřička mu řekla, že kytky na porodním sále být nesmí, ale že u nás udělá výjimku a vykouzlila odněkud vázu a dala je do ní. Jiná mi zase přinesla rádio, aby mi alespoň trochu ztlumila zvuky z jiných pokojů, kde se neustále rodilo a pak plakala nově narozená miminka. V sobotu už jsem měla strašný hlad (jedla jsem naposledy ve čtvrtek večer), tak mi sestřička přinesla alespoň misku piškotů a večer ještě jednu a termosku teplého čaje. V neděli už jsem nemohla ani ležet ani sedět, strašně mě bolela záda. Ono se moc hýbat nedá, když máte na jedné ruce zajištěnou žílu na infuze, na druhé ruce manžetu na měření tlaku a v zádech epidurální katetr. Tak jsem sestřičku poprosila ještě o jeden polštář, jenže našla pouze kojící polštář, tak se mě ptala, jestli mi to nevadí. Nevadilo, byl nádherně pohodlný…Manžel se mnou trávil v nemocnici skoro celé dny a v podvečer vždycky za mnou chodila kamarádka. Od neděle jsem začala dostávat i infuze s oxytocinem, který by měl také vyvolat porod, ale na mě nezabíralo nic. V neděli večer mi praskla voda, bylo jí strašně velké množství i to prý svědčí o tom, že je to vážné. Vzorek z ní odebrali na vyšetření. Kolem půlnoci mě přestěhovali na JIP, protože měli hodně porodů a potřebovali i mou postel a kvůli té vodě jsem musela být pod dozorem, ale do rána už se nedělo nic.
V pondělí ráno se nade mnou už radilo pět doktorů, co tedy se mnou dál… když na nic nereaguji. Ptala jsem se lékaře, co tedy dál, že už prostě takhle dál nemůžu. Chtěla jsem, aby to už skončilo. Prý ještě jedna možnost je, zkusit ty tablety spolknout, mají pak větší účinek, ale zase mi po nich může být strašně špatně. I tak jsem řekla, že to chci zkusit. Tak jsem je tedy spolkla a čekala, co to se mnou udělá. Když bylo po půl hodině vše v pohodě, tak mě z JIP převezli nazpět na gynekologii na můj pokoj, kde jsem nebyla od páteční noci.
Chvíli po tom jsem dostala strašnou zimnici, tak mě zabalili do spousty peřin. Ani ne za 15 minut jsem měla zase horečku a začaly pravidelné zatím jemné stahy po 6 minutách. Dostala jsem Paralen od teploty a injekci od bolestí. Paralen zabral jen na tu zimnici, ale horečka dál stoupala a zastavila se na 39,1 °C. Manžel mě balil do studených zábalů. Podařilo se mu srazit mi teplotu na 37 stupňů a potom mi už bylo fajn. Bolesti byly stále pravidelné po 5 minutách, ale slabé a ještě jsem se ani moc neotvírala. Manžel odjel kolem 17té hodiny a chvíli po něm přišla ještě kamarádka za mnou a byla se mnou skoro do půl osmé.
Ve 20 hodin mi sestřička napojila infuzi s oxytocinem a sotva uběhlo pár minut, dostala jsem strašné bolesti břicha, nebyly to ani jednotlivé stahy, jen jakoby jednotná křeč….zvonila jsem na sestřičku, která okamžitě volala lékaře a na porodní sál, jenže tam neměli místo… takže jsem se skoro třičtvrtě hodiny svíjela v bolestech na gynekologii, než mi udělali místo na porodním a převezli mě tam. Tam už to šlo rychle, na epidurální anestezii už bylo pozdě, už by byla k ničemu. Podařilo se mi na chvíli se položit, aby mě mohli vyšetřit, ale kvůli bolestem bych to na posteli nevydržela a nezvládla, takže jsem rodila opřená o postel. Maličký šel nožičkami napřed a nakonec hlavička. Vlastní porod byl dost rychlý.
Rozloučení s andílkem
Když byl venku, poprosila jsem sestřičku, jestli bych ho mohla vidět. Říkala, že ano, jen že ho na to trošku upraví (dala ho do čisté bílé plenky a položila mi ho na postel). Chvilku jsme si s ním povídali, ptala se mě, jak se měl jmenovat… a já se pak s ním rozloučila, objala ho a nechala sestřičku, aby jej odnesla. Pak jsem se vyškrábala na postel a ještě jsme porodili placentu, naštěstí byla vcelku a nemusela jsem na revizi. Potom přišla paní doktorka mrknout na placentu a na mě, jestli nejsem někde natrhlá a není potřeba něco zašít. Nebyla.
Potom už jsem jen odpočívala a vzpomínala na andílka, jaký byl krásný. Měl 630g a 23 cm a byl kouzelný. Jediná věc, co mě hodně mrzí je, že jsem neměla foťák, abych na něj měla památku. Jsem ráda, že mě nechala se s ním rozloučit, moc to pro mě znamenalo. Asi po hodině mě převezli zpět na gynekologii, kde jsem vyčerpáním za chvíli usnula. Na druhý den mě ještě nechtěli propustit kvůli té vysoké pondělní teplotě, ale slíbili mi, že ve středu půjdu domů. Manžel musel do práce, tak mi jen co chvíli telefonoval. Po psychické stránce mi bylo už lépe, protože to už bylo za mnou a já se s ním mohla rozloučit, napsala jsem mu i dopis na rozloučenou.
Ve středu si pro mě manžel přijel a já byla „šťastná“, že jsem zase s ním doma. Teď mě ještě čeká kontrola u mojí gynekoložky a hned jak budeme moct, tak se pokusíme o další miminko.
V září by nám měli volat z genetiky, jak dopadla vyšetření miminka a mojí krve, proč se to stalo a jestli by se to mohlo nebo nemohlo opakovat. Tak snad to dopadne dobře a brzo budu zase těhotná se zdravým broučkem v bříšku.
Veliká opora
Bez manžela bych tohle všechno nezvládla. Byl mi stále po boku a držel mě nad vodou, i když ani pro něj to nebylo lehké. Byl unavený a smutný, ale přede mnou se držel a snažil se to nedávat najevo. Jsem ráda, že ho mám.
Jak celou situaci zvládá zbytek rodiny?
Byl to pro ně dost šok, moc se na miminko všichni těšili. Mamka je báječná a dost mi pomohla se s tím vyrovnat a řekla všem, co se stalo a ať o tom přede mnou nemluví. I brácha a sestra byli skvělí. Na co nemám zatím odvahu, tak navštívit teď babičku s dědou, jak moje, tak od manžela…A manželův bratránek, který bydlí nedaleko od nás, a vidíme je dost často, tak čekají taky mimi se stejným termínem, který jsem měla i já. Takže budu mít stále na očích stejně staré miminko jako by bylo to moje.
A co okolí? Nemáš strach, že se budeš setkávat s nečekanými dotazy na miminko?
Z toho mám dost velký strach, při každé zmínce mám hned slzy v očích, nejhorší to bude v práci, dělám v domácí péči a většina mých pacientů věděla, že jsem těhu a budou se ptát, co se stalo…
Podle příběhu Mtiny zpracovala Naďa Barochová.
Následující článek:
Dzejna a příběh jejího andílka Vojtíška
Zajímavé články z oddílu Mtina a porod andílka ve 22. týdnu
- Všechny články
- Nejčtenější články
- Nejnovější články
Mtina a porod andílka ve 22. týdnu
Některé osudy, se kterými se na Babyonline setkáváme jsou velmi smutné. Patří mezi ně i dnešní příběh.Jmenuji se Martina, je mi 26 let a jsem zdravotn...
Mtina - pokračování příběhu
V dnešním příběhu se v pokračování vrátíme k mtině, jejíž první příběh jste si mohli přečíst zde: https://www.babyonline.cz/maminka/pribehy-z-bol/mtin...
Obsah článku
- Některé osudy, se kterými se na Babyonline setkáváme jsou velmi smutné. Patří mezi ně i dnešní příběh.
- Kdy jste se rozhodli pro miminko?
- Jak probíhalo těhotenství?
- Osudný screening
- Genetické vyšetření
- Jaké jste měli možnosti?
- Vyvolání porodu
- Rozloučení s andílkem
- Veliká opora
- Jak celou situaci zvládá zbytek rodiny?
- A co okolí? Nemáš strach, že se budeš setkávat s nečekanými dotazy na miminko?
Související články
Aktuální soutěže
Aktuální testování
BMI
Kategorie BMI jsou zjednodušeným modelem, které nám pomáhají se zorientovat v naší tělesné hmotnosti. Body Mass Index (BMI) udává méně přesné údaje zejména u dětí, starších lidí a aktivních sportovců. Přesnější posouzení tělesné váhy než kalkulačka BMI může provést odborník, který zahrne i další parametry: např. pohlaví, věk, objem svalů, typ postavy a celkový životní styl.
Související recepty
Vybraná anketa
Bylo vaše dítě očkováno proti pneumokokům? Jakou vakcínou?
24 %
25 hlasů
2 %
2 hlasy
13 %
14 hlasů
46 %
49 hlasů
15 %
16 hlasů
Celkem hlasovalo 106 unikátních návštěvníků